Examples of Dr. Liu's cases showcasing the transformative results of our treatments.
These before and after photos demonstrate the quality of care and results you can expect at Main Line Dental Implant Center. Each case represents Dr. Liu's commitment to excellence and attention to detail.
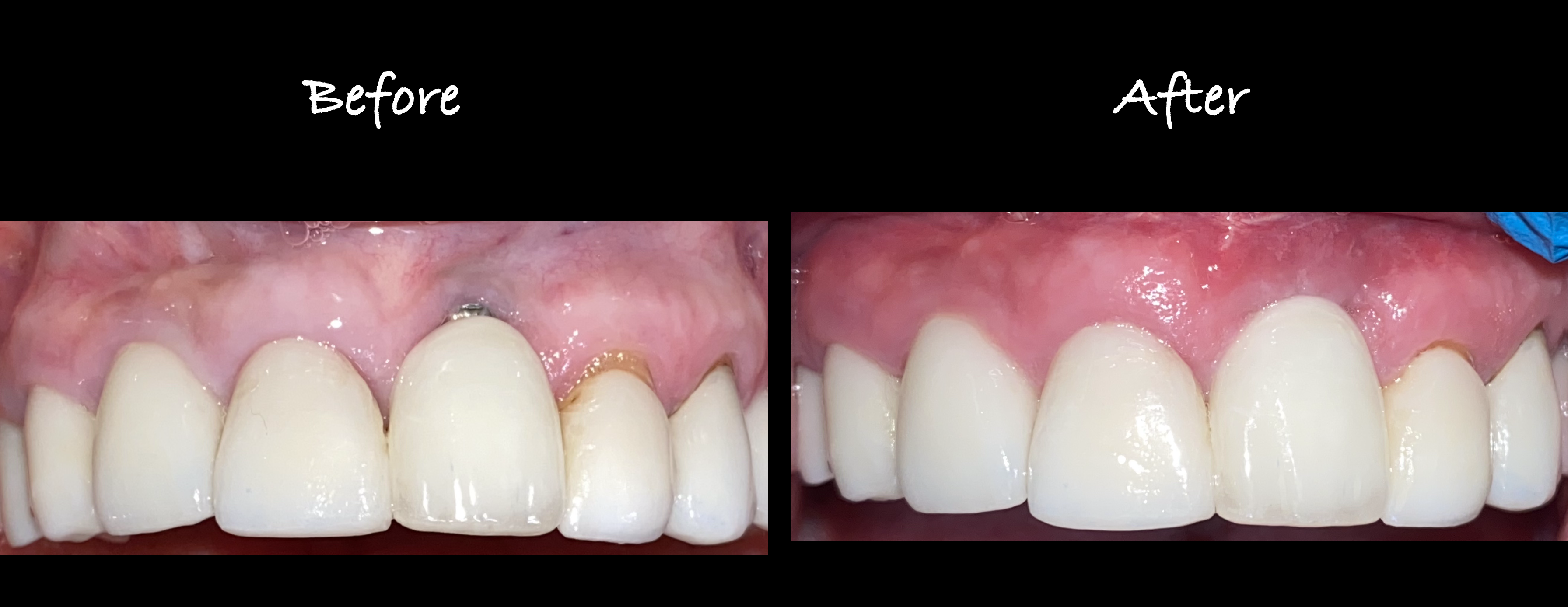
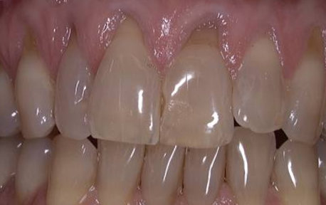
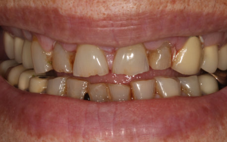
Complete smile transformations using dental implants to restore function and aesthetics.
Before
After
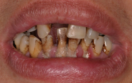
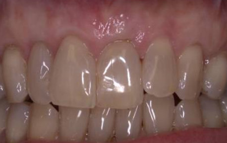
Full Mouth Reconstruction - Case 1
Before
After
Full Mouth Reconstruction - Case 2
Before
After
Full Mouth Reconstruction - Case 3
Before
After
Full Mouth Reconstruction - Case 4
Before
After
Full Mouth Reconstruction - Case 5
Before
After
Full Mouth Reconstruction - Case 6
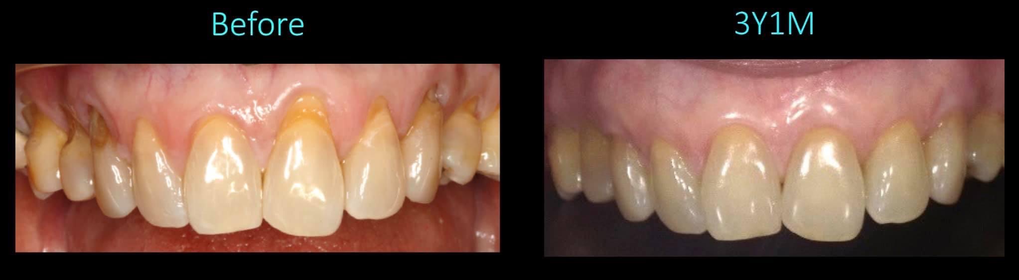
Gumline reshaping combined with porcelain restorations for beautiful smiles.
Before
After
Crown Lengthening - Case 1
Before
After
Crown Lengthening - Case 2
Before
After
Crown Lengthening - Case 3
Before
After
Crown Lengthening - Case 4
Before
After
Crown Lengthening - Case 5
Traditional gum grafting to restore receded gumlines and protect tooth roots.
Before
After
Gum Graft - Case 1
Before
After
Gum Graft - Case 2
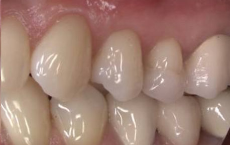
Dental implant cases showing natural-looking tooth replacement and restoration.
Dental Implant Restoration - Case 1
Dental Implant Restoration - Case 2
Dental Implant Restoration - Case 3
Minimally invasive gum recession treatment with no incisions or sutures.
Pinhole Gum Rejuvenation - Case 1
Pinhole Gum Rejuvenation - Case 2
Restoring bone around implants affected by infection.
Peri-Implantitis Treatment
Esthetic gumline reshaping to improve smile proportions.
Cosmetic Crown Lengthening - Case 1
Cosmetic Crown Lengthening - Case 2
Treatment for bite alignment and temporomandibular issues.
Bite Plane Treatment
X-ray imaging showing comprehensive implant-supported restorations.
Full Mouth Implant Reconstruction - X-Ray Case 1
Full Mouth Implant Reconstruction - X-Ray Case 2
Full Mouth Implant Reconstruction - X-Ray Case 3
Soft tissue grafting to protect and restore receding gums around natural teeth.
Gum Graft for Natural Teeth - Case 1
Gum Graft for Natural Teeth - Case 2
Soft tissue grafting to improve aesthetics and protect tissue around dental implants.
Gum Graft for Implant - Case 1
Combined orthodontic treatment and comprehensive restoration for optimal results.
Orthodontic Therapy & Full Mouth Reconstruction
Schedule a consultation to discuss how Dr. Liu can help you achieve similar results.